Ortodoncia Infantil
Interceptiva
Interceptiva
Hay maloclusiones que deben ser tratadas en cuanto se detecten y el niño colabore como, por ejemplo, la mordida cruzada y la mordida abierta anterior.
Igualmente, también es importante rehabilitar hábitos nocivos para el crecimiento de los maxilares, como la respiración bucal, la succión digital o la deglución infantil con interposición lingual.
Además, podemos aprovechar que los niños todavía están creciendo para mejorar ciertos problemas esqueléticos.
Para ver la transformación, coloca el cursor encima del círculo central de la foto, haz click sobre él y, sin soltar, desplaza el cursor hacia la derecha para ver la foto completa del «antes» y hacia la izquierda para ver el «después» o resultado final.




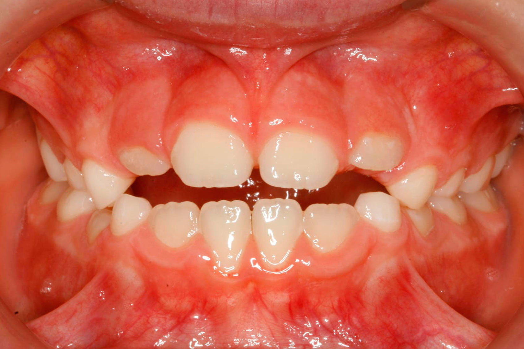
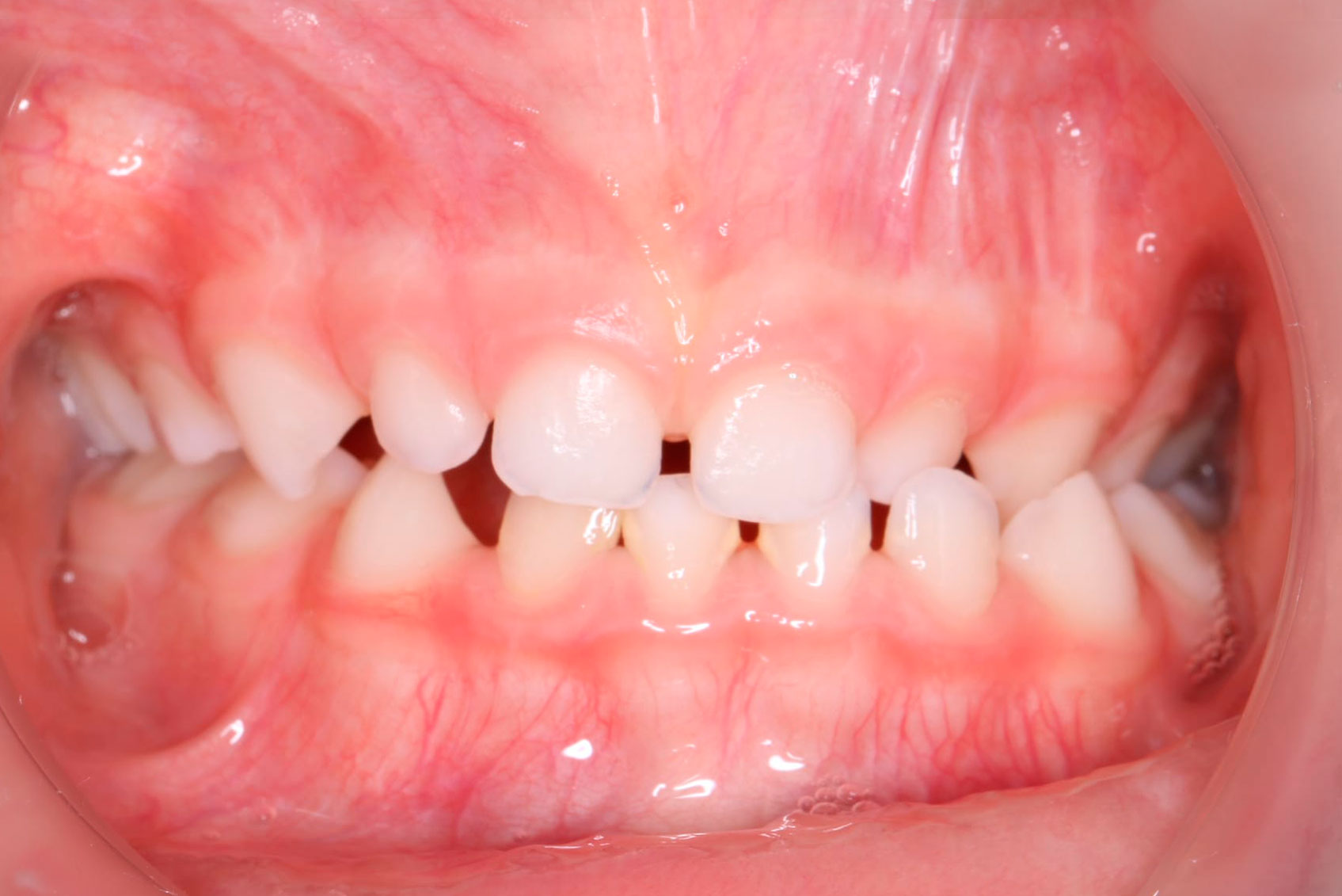
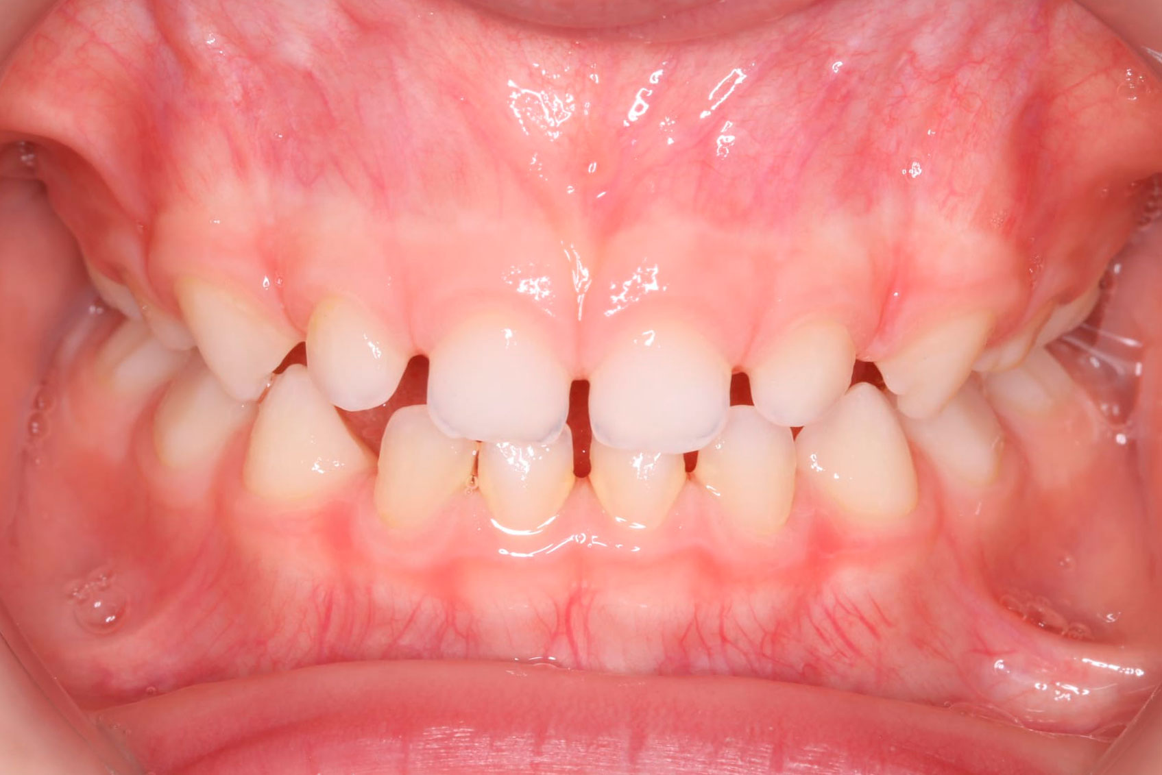
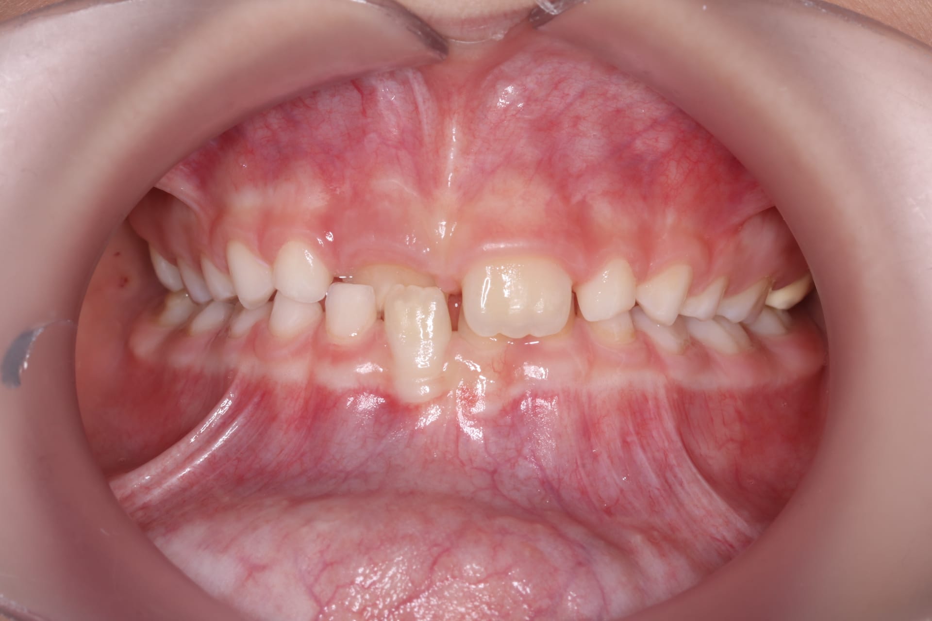
Mordida Abierta Anterior




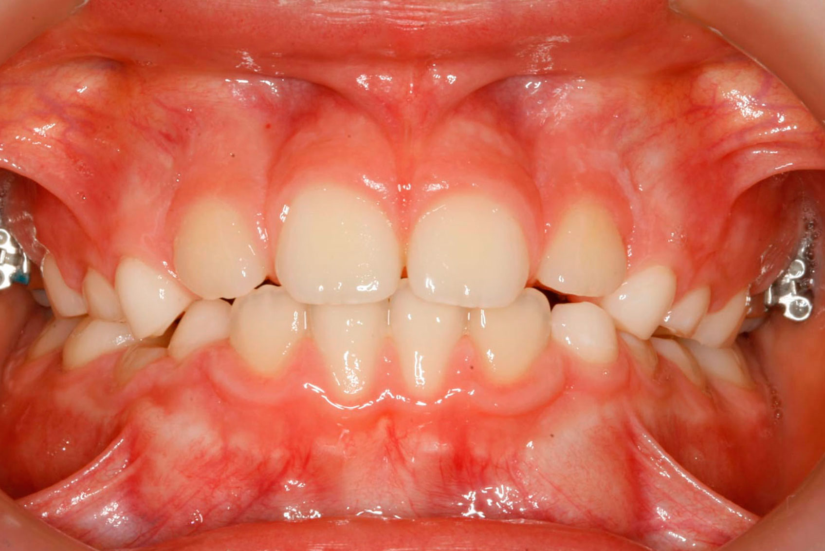
Mordida Cruzada Lateral




Mordida Cruzada Anterior
Usamos cookies para mejorar tu experiencia en la web. Si continúas navegando, estarás aceptando las políticas del sitio.
OKConfigurarUtilizamos cookies para saber cuándo se visita nuestra página, cómo se interactúa con nosotros, para enriquecer la experiencia de usuario y para personalizar tu relación con nuestro sitio web.
Haz clic en las diferentes pestañas para obtener más información. También puedes cambiar algunas de las preferencias de privacidad. Ten en cuenta que el bloqueo de algunos tipos de cookies puede afectar a la experiencia en nuestra web y los servicios que podemos ofrecer.
Estas cookies son estrictamente necesarias para ofrecerte los servicios disponibles a través de nuestro sitio web y para usar algunas de sus funciones.
Este tipo de cookies no se pueden rechazar sin afectar al correcto funcionamiento de nuestro sitio. Si aun así quieres bloquearlos o eliminarlos, puedes hacerlo cambiando la configuración de tu navegador para forzar el bloqueo de todas las cookies en este sitio web.
Cookies esenciales:
PHPSESSID, __zlcid, __zlcmid, __zlcstore
Estas cookies recopilan información anónima que se utiliza de forma agregada para ayudarnos a comprender cómo se utiliza nuestro sitio web, cómo de efectivas son nuestras campañas de marketing, o para ayudarnos a personalizar nuestro sitio web para mejorar la experiencia de usuario.
Cookies empleadas:
_ga, _gat, _gid
Si no deseas ser tenido en cuenta, puedes desactivar el seguimiento en tu navegador aquí:
También utilizamos diferentes servicios externos como Google Webfonts, Google Maps y proveedores externos de video. Dado que estos proveedores pueden recopilar datos personales, como tu dirección IP, te damos la opción de bloquearlos aquí. Ten en cuenta que esto puede reducir en gran medida la funcionalidad y la apariencia de nuestro sitio. Los cambios tendrán efecto una vez que recargues la página.
Ajustes de Google Webfont:
Ajustes de Google Maps :
Vídeos embebidos de Vimeo y Youtube:
Puedes leer más sobre nuestras cookies y configuración de la política de privacidad en nuestra página:
Consulta nuestra política de privacidad Política de privacidad
